BUN VENIT ÎN SPAȚIUL
dedicat exclusiv ortodonției
Sunt dr. Răzvan Tas și misiunea mea este ca
TU să ai un zâmbet fanTAStic!
BUN VENIT ÎN SPAȚIUL
dedicat exclusiv ortodonției
Sunt dr. Răzvan Tas și misiunea mea este ca TU să ai un zâmbet fanTAStic!
Fără disconfort, fără durere,
doar rezultate fanTAStice!
Aici nu grăbim pașii și nu lăsăm nimic la întâmplare.
Ne bucurăm de fiecare etapă – cu răbdare, precizie și multă grijă față de tine. Fiecare vizită, fiecare gutieră, fiecare ajustare – toate fac parte dintr-o transformare vizibilă, pe termen lung.
Cazuri fanTAStice
Un zâmbet drept înseamnă mai mult decât o schimbare estetică, este începutul unei transformări complete.
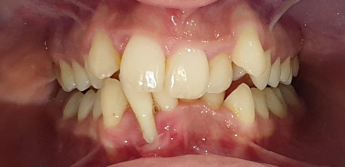
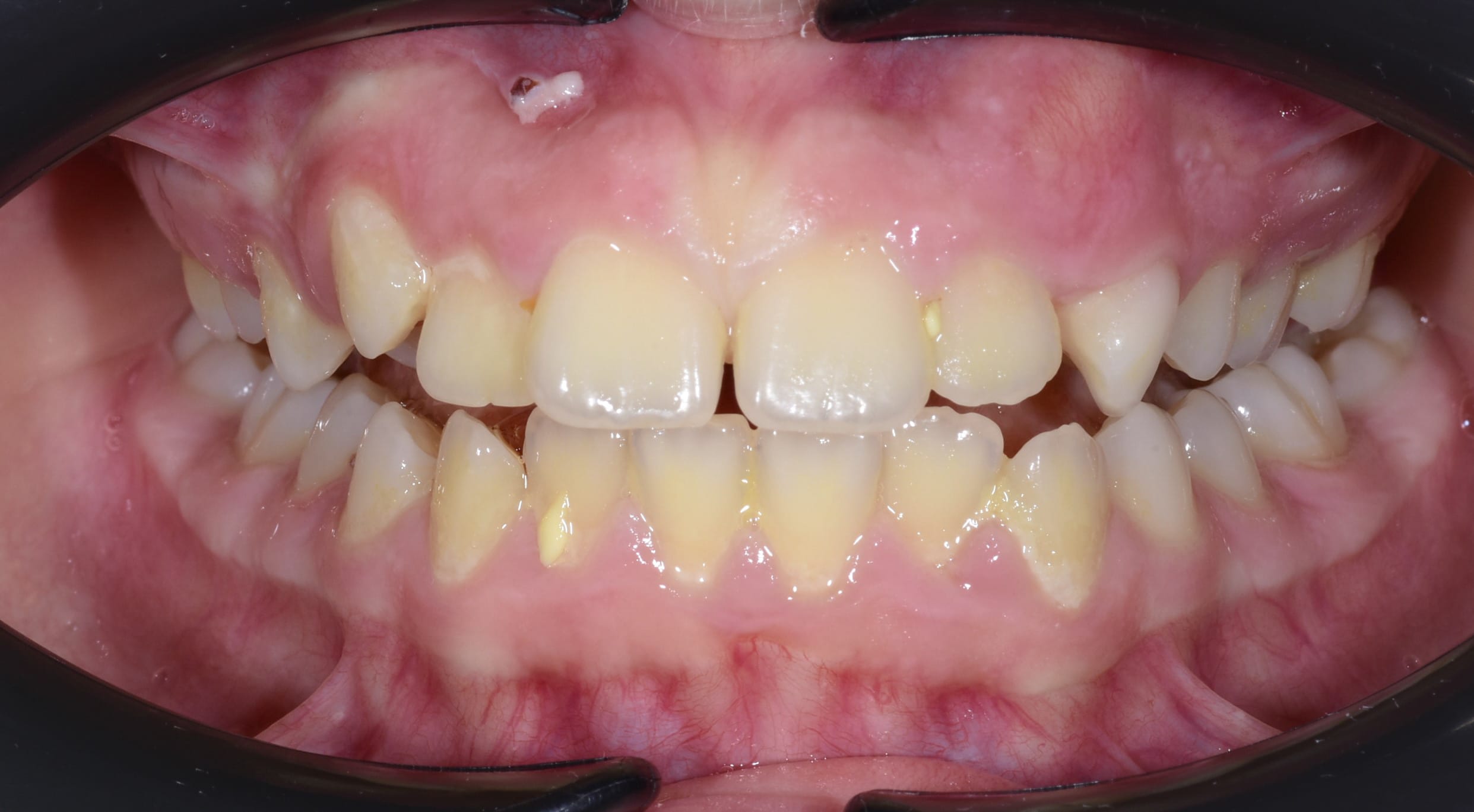
Before
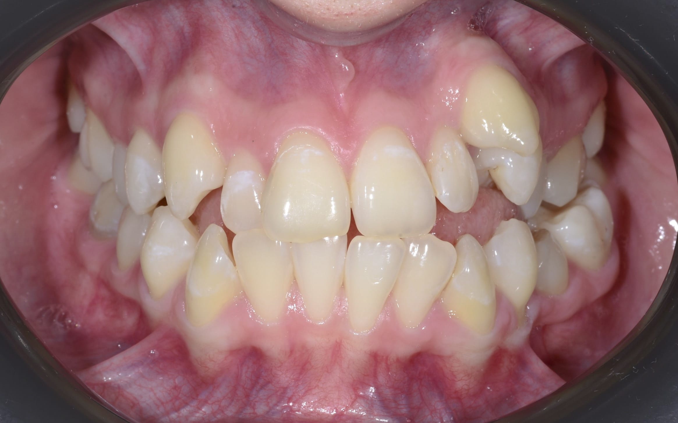
After


- Durata tratamentului: 1 an și 7 luni.
- Tipul de aparat folosit: aparat dentar metalic
- Probleme dentare rezolvate: inghesuiri dentare severe, anomalie dento-maxilara de clasa a 2-a.
Before
After


- Durata tratamentului: 1 an și 10 luni.
- Tipul de aparat folosit: aparat dentar metalic
- Probleme dentare rezolvate: înghesuiri dentare severe, ocluzie deschisă, ocluzie inversă laterală și anterioară, anomalie dentară de clasa a 2-a, anomalie dentară clasa a 3-a.
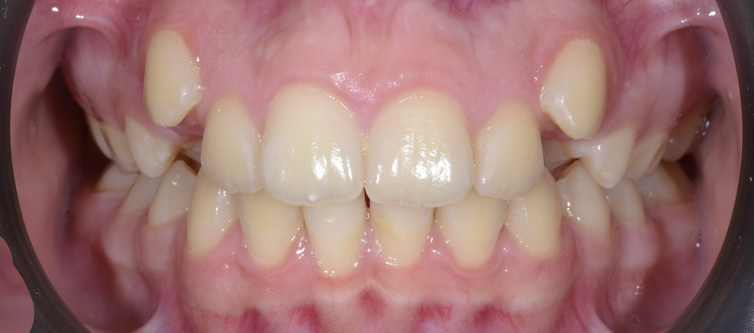
Before
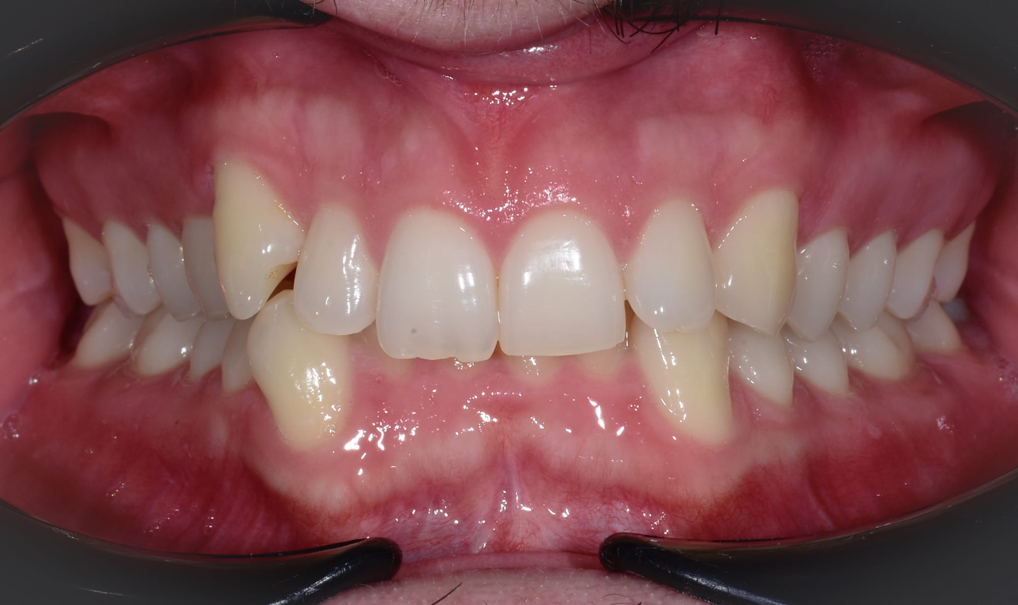
After


- Durata tratamentului: 1 an și 6 luni.
- Tipul de aparat folosit: aparat dentar metalic
- Probleme dentare rezolvate: inghesuiri dentare severe, anomalie dento-maxilara de clasa a 2-a.
Before
After


- Durata tratamentului: 1 an și 6 luni.
- Tipul de aparat folosit: aparat dentar mixt (safir superior/metalic inferior)
- Probleme dentare rezolvate: ocluzie dentara adanca, inghesuiri dentare severe.
Before
After


- Durata tratamentului: 12 luni
- Tipul de aparat folosit: aparat dentar metalic
- Probleme dentare rezolvate: inghesuiri dentare severe
Zâmbetul tău e în siguranță
Diversitatea aparatelor dentare îți oferă confort estetic, dar cel mai important lucru este că noi ne facem treaba excelent, de fiecare dată, indiferent de opțiunile pe care tu le alegi!
Aparat dentar copii
Aparat dentar autoligaturant Damon
Aparat dentar transparent din safir sau ceramică
Aparat dentar metalic
Un zâmbet MARE
se pregătește de MIC
Frica părinților doare mai tare decât aparatul dentar.
La OrtoClinic, tratamentele ortodontice pentru copii încep cu răbdare, joacă și încredere.
Ortodonția nu cunoaște limite de vârstă, doar motive bune să începi!
Fie că ai 5 sau 55 de ani, un zâmbet aliniat corect îți schimbă încrederea, sănătatea dentară și felul în care te vezi.
- La copii, intervenim devreme pentru a ghida dezvoltarea corectă a maxilarelor.
- La adolescenți, corectăm armonios poziția dinților în timpul creșterii, iar la adulți, obținem rezultate excelente, fie că vorbim de aliniere estetică sau pregătirea pentru lucrări protetice.
Aparatul dentar este o alegere potrivită indiferent de etapă – iar noi te ghidăm cu grijă la fiecare pas.
Despre mine
Medic specialist în „Ortodonție și Ortopedie Dento-Facială”, cadru universitar la Catedra de Ortodonție din Timișoara și doctorand în domeniu.
Mai simplu, pe înțelesul celor mai mici pacienți ai mei, medicul care îndreaptă dinții corect și sănătos. 🙂
Cazuri tratate
+
0
Ani experiență
+
0
Invizibil pe dinți, vizibil în zâmbet
Corectăm zâmbete cu gutiere transparente și ghidare digitală continuă – discret, confortabil, eficient.
Alignerele sunt gutierele personalizate, realizate digital, care se schimbă treptat pentru a ghida dinții în poziția corectă. Fără brackets, fără sârme – doar un plan clar, previzibil, perfect adaptat stilului tău de viață.
-
Scanare digitală precisă
fără mulaje, doar confort și acuratețe 3D.
-
Tratament 100% remote
progres ghidat online, oriunde ai fi.
-
Estetică impecabilă
aparatul e invizibil, rezultatul nu.
- Scanare digitală precisă
- Tratament 100% remote
- Plan personalizat & rezultate predictibile
OrtoAway
tratament de oriunde, ghidare de aproape!
Pentru cei care călătoresc frecvent, locuiesc în alt oraș sau în străinătate, OrtoAway înseamnă tratament ortodontic complet, fără drumuri lunare la cabinet – totul se întâmplă de la distanță, cu rezultate vizibile și ghidare constantă.
Programează-te gratuit
la o consultație
Experiențele
pacienților noștri
Cei mai buni, cu adevărat! Profesionalism până la ultimul detaliu. 🔝
Dl dr. Tas face magie, chiar schimbă viețile oamenilor în bine! ✨✨✨
Mulțumesc întregii echipe pentru tot! ❤️
Dl dr. Tas face magie, chiar schimbă viețile oamenilor în bine! ✨✨✨
Mulțumesc întregii echipe pentru tot! ❤️
Recomand cu drag aceasta clinica! Am fost foarte multumita de rezultatul obtinut dupa purtarea aparatului dentar!
O experiență excepțională la această clinică de ortodonție! Medicul este cel mai bun, foarte profesionist și atent la fiecare detaliu. Clinica este impecabil de curată, modernă și elegantă, oferind un mediu confortabil și primitor. Întregul personal este extraordinar—amabil, bine pregătit și mereu gata să ajute. Recomand cu încredere tuturor celor care caută servicii ortodontice de top!
Recomand cu încredere Orto Clinic, am avut o experiență minunată cu dr Tas, un adevărat profesionist care mi-a transformat complet zâmbetul. De la prima consultație până la finalizarea tratamentului , am fost impresionată de profesionalismul și atenția sa la detalii. Rezultatul final fiind peste așteptări: zâmbetul meu arată incredibil. Clinica este modernă, iar echipa este prietenoasă și dedicată. Le-am trecut pragul timp de un an jumătate. Îl recomand pe domnul doctor oricui își dorește un zâmbet perfect! 🦷
Bianca a fost foarte încântată de rezultat, zâmbetul e superb și au dispărut dinții de iepuroaică. Mulțumim!!!
5 stele sunt puține sincer, peste tot este foarte curat, tot personalul este foarte de treabă și foarte priceput. Am căutat mult înainte să aleg această clinică și sunt extrem de mulțumită de alegere, nu am nimic de reproșat.
Vin deja de un an aici și recomand din tot sufletul pentru orice serviciu!
Vin deja de un an aici și recomand din tot sufletul pentru orice serviciu!
Am apelat la acest stomatolog pentru a începe un tratament ortodontic cu aparat dentar. De la prima consultatie, am fost impresionata de profesionalismul medicului, care mi-a explicat toate detaliile procesului si mi-a răspuns la toate întrebările. Cabinetul este modern, foarte curat si echipat cu tehnologie de ultima generatie. Am simtit mereu ca sunt pe mâini bune. Recomand cu încredere acest medic tuturor celor care caută servicii stomatologice excelente si o atmosferà prietenoasã!